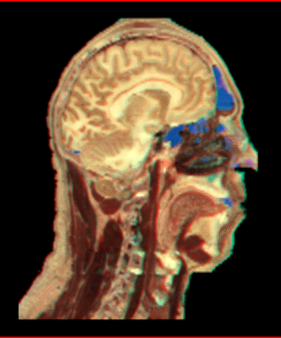
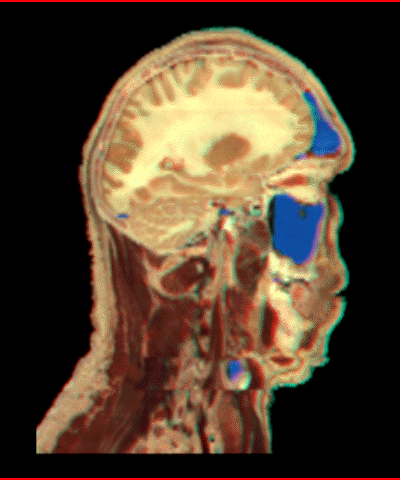
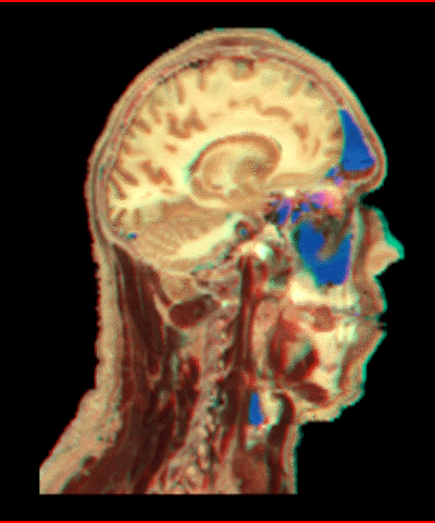
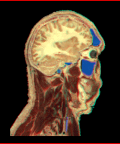
Sagittal Anatomical Sections From the Visible Human Data Set

Click on the image to view a larger version

TUSM Dept. of Anatomy and Cellular Biology 11/07/97